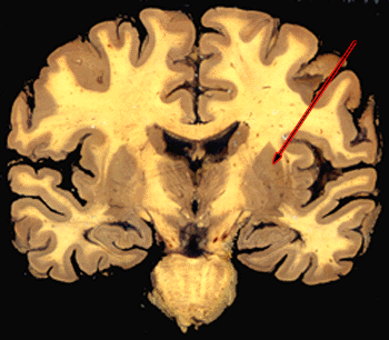
Q8. Identify the nucleus.
Question 1
Question 2
Question 3
Question 4
Question 5
Question 6
Question 7
Question 8
Question 9
Question 10
Question 11
Question 12
Question 13
Question 14
Question 15
Question 16
Question 17
Question 18
Question 19
Question 20
Question 21
Question 22
Question 23
Question 24
Question 25
Question 26
Question 27
Question 28
Question 29
Question 30
Question 31
Question 32
Question 33
Question 34
Question 35
Question 36
Question 37
Question 38
Question 39
Question 40
Question 41
Question 42
Question 43
Question 44
Question 45
Question 46
Question 47
Question 48
Question 49
Question 50
Question 51
Question 52
Question 53
Question 54
Question 55
Question 56
Question 57
Question 58
Question 59
Question 60